|
Laboratory 24 Angiosperms and the Flower |
back to menu or next or previous See Also: Insect Pollinated Flowers Wind Pollinated and Composite Flowers Ovule and Megagametophyte Development
|
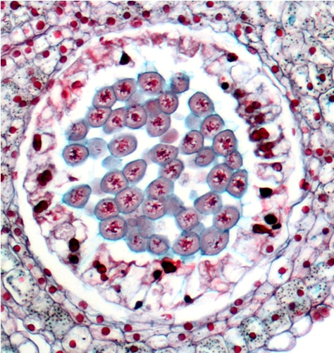
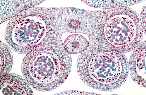
D. Stamen and Pollen





back to menu or next or previous
See Also: Insect Pollinated Flowers
Wind Pollinated and Composite Flowers
Ovule and Megagametophyte Development
Copyright information:
The images and information contained in the Biology 130 Lab Review Images
web site may be freely used for non-profit, educational purposes, as long
as complete citation information is included.
Use in any copyrighted document or any web site is prohibited without specific permission of the University of Wisconsin - Stevens Point Department of Biology. Please contact Webmaster for more information.
Copyright 2003, 2007, 2012, 2020 University of Wisconsin Board of Regents